ページの本文へ

Hitachi Global

2018年6月1日

心臓の3D画像を取得できる経胸壁マトリックスプローブを搭載した循環器科向け超音波診断装置の新製品「LISENDO 880LE」を発売

[画像]超音波診断装置「LISENDO 880LE」 超音波診断装置「LISENDO 880LE」

  株式会社日立製作所(執行役社長兼CEO:東原 敏昭/以下、日立)は、循環器科向け超音波診断装置の新製品「LISENDO 880LE」(リセンド 880 エルイー)を、6月1日から販売開始します。
  本製品は、循環器科向けのプレミアムハイエンドモデル「LISENDO 880」(リセンド 880)の高度な画像処理技術に加え、心臓の3D画像を取得できる3D経胸壁マトリックスプローブを新たに搭載し、よりスムーズな循環器検査を可能にします。

  超音波診断装置は、非侵襲で被検者の身体の負担が少なく、リアルタイムに体内を画像化できるため、医療現場で欠かせない検査機器となっています。循環器科の検査においても、全身に血液を送る心臓の動きをリアルタイムに見られることから、広く使われています。
  日立は、1960年に世界で初めて医用超音波診断装置を開発して以来、画質の向上を図るとともに診療科や用途に応じたアプリケーションを提供してきました。2017年5月には、循環器領域に適した画質、使い勝手を兼ね備え、血流を視覚化するアプリケーションを搭載した「LISENDO 880」を発売しました。
  今回販売を開始する新製品は「Pure Image」「Your Application」「Seamless Workflow」をコンセプトとした「LISENDO 880」の機能を継承し、心臓の機能評価を円滑に行うプローブと自動計測機能を搭載しています。

  新製品の特徴は以下のとおりです。

新製品の特徴

1.高感度・高精細な画質を実現した3D経胸壁マトリックスプローブ

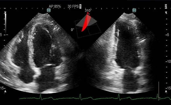
  胸にプローブを当てて心臓の検査をする経胸壁エコー検査では、拡張・収縮を繰り返す心臓の断面の画像を見ることにより、心臓の血液ポンプとしての機能にどのような問題があるかを診断します。
  従来のプローブは一度に一断面だけを表示するため、心腔(心房・心室)の容積を測るには、検査者が必要な断面ごとにプローブを手で動かして画像を取り込む必要がありました。新開発の3D経胸壁マトリックスプローブは、検査者がプローブを動かさずに必要な断面全てを一心拍の間に取り込むことが可能です。
  超音波の3Dプローブは、極めて微小な信号を検出するアナログ回路と、高精度に超音波を制御するための高速なデジタル処理を共存させる難しさがあります。新開発の3D経胸壁マトリックスプローブは、日立グループで培った半導体技術を活用し、専用の集積回路をプローブ先端部に組み込むことにより、高感度・高精細でありながら小型で扱いやすい3Dプローブを実現しました。

[画像]3D経胸壁マトリックスプローブによる心臓の2断面同時表示 3D経胸壁マトリックスプローブによる心臓の2断面同時表示

2.ワークフローを改善する心機能自動計測

  心臓が体内に血液を送り出す能力を表す駆出率(Ejection Fraction:EF)は、心臓のポンプ機能を診断するための重要な指標です。新たに開発したiEF自動計測機能*は、3Dプローブで取得した一心拍分の画像データから、最適断面と、心腔容積が最大(拡張末期)・最小(収縮末期)になるタイミングを自動的に選択し、駆出率を計測します。これによりエコー検査の時間の大幅な短縮が可能になり、被検者の負担軽減と検査者のワークフローの改善、さらには病院の検査スループット向上に寄与します。

  本製品は、2018年6月2日(土)から3日(日)に大阪国際会議場で開催される日本超音波検査学会学術集会、および、6月8日(金)から10日(日)に神戸国際会議場で開催される日本超音波医学会学術集会に展示する予定です。

*
iEF自動計測機能はオプションです。

販売名および販売価格

販売名販売価格(税抜き)提供開始時期
超音波診断装置 ALOKA LISENDO 880
(医療機器認証番号:第228ABBZX00092000号)
\133,000,000〜2018年8月1日
*
構成により価格は異なります。

ALOKA LISENDO 880はLISENDO 880LEと呼称します。

関連情報

お問い合わせ先

株式会社日立製作所ヘルスケアビジネスユニット グローバルビジネス統括本部 [担当:高山]
〒110-0015 東京都台東区東上野二丁目16番1号 上野イーストタワー
電話 : 03-6284-3100(直通)

以上

シェアする:

ニュースリリースカテゴリー

ヘルスケア

関連情報